O femeie în vârstă de 27 de ani s-a prezentat la spital cu tuse, febră și mucus gros care persista de șase luni. Cu patru luni înainte de a se prezenta la spital, i se prescriseseră antibiotice și tratament antituberculos, care nu păreau să aibă niciun impact asupra simptomelor, scriu medicii într-un raport de caz publicat în National Library of Medicine (Bibilioteca Națională de Medicină din SUA), potrivit IFL Science.
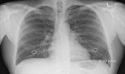
Apoi, femeia - profesoară într-un liceu din SUA - a fost testată pentru tuberculoză, iar rezultatul a fost negativ pentru această boală. Cu toate acestea, când i s-a făcut o radiografie, a fost descoperită o leziune în lobul superior drept al unuia dintre plămâni. În urma investigațiilor suplimentare, aceasta părea a fi "o structură inversată asemănătoare unui sac 'așezat' în bronhii".
În urma unei intervenții chirurgicale, medicii au scos „sacul” misterios. Deși cea mai mare parte a fost distrusă în urma procesului, rezultatul a fost șocant: un prezervativ.
Uimiți de ceea ce au găsit, medicii i-au pus mai multe întrebări femeii și soțului ei. Rușinată, ea le-a mărturisit cadrelor medicale că prezervativul ar fi ajuns în plămânii săi în urma unei partide de sex oral.
„Cei doi soți și-au amintit că prezervativul se slăbise în timpul actului și că, în acel moment, doamna avusese și un episod de strănut sau tuse".
Medicii au observat că diagnosticarea problemei a fost întârziată de mai mulți factori.
Ce au notat în raportul medical:
- Ei cred că era puțin probabil ca prezervativul în sine să provoace o leziune pulmonară în mod direct, " din cauza consistenței sale moi, elastice și cauciucate", dar obstrucția ar fi putut duce la acumulări de secreții, precum și la infecții. Cu toate acestea, modul în care prezervativul a clintit în interiorul plămânului ei în timpul respirației și tusei a eliminat probabil unele secreții, ceea ce a dus la întârzierea simptomelor care ar putea fi observate de personalul medical.
- Rușinea. Echipa scrie că este posibil ca acest cuplu să fi ezitat să dezvăluie ceea ce s-a întâmplat sau, altfel, nu a corelat cu adevărat inhalarea unui prezervativ cu apariția ulterioară a tusei.
- Având în vedere vârsta pacientului, echipa nu a luat în considerare de la început inhalarea unui corp străin ca posibilă explicație.
Mai mult, echipa medicală crede că acest caz, care a avut loc în anul 2021, ar putea fi singurul de acest fel din literatura medicală.
































Comentează