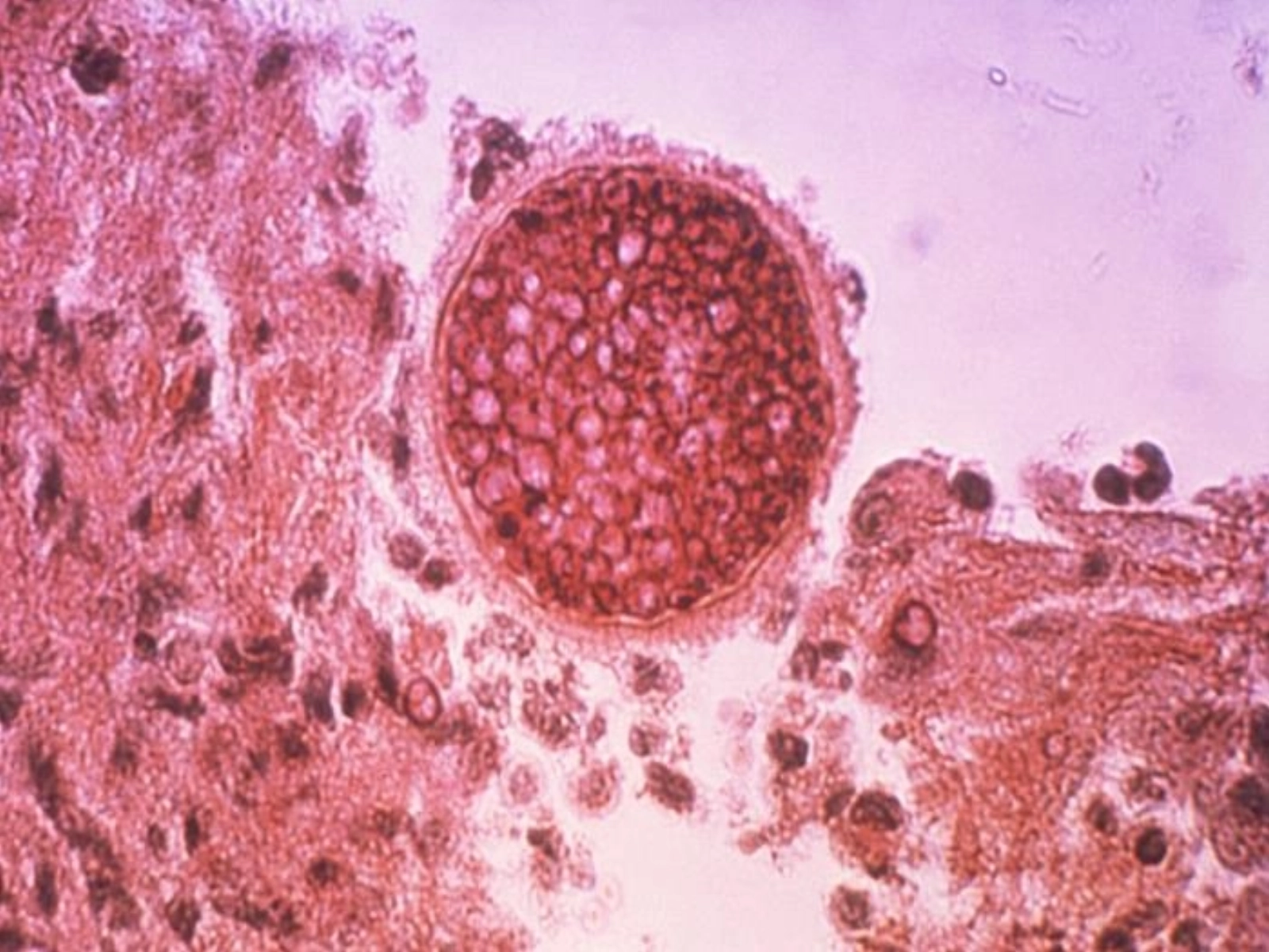
Coccidioides este o ciupercă rară cunoscută pentru capacitatea sa de a infecta oamenii, iar domeniul său de răspândire se extinde pe măsură ce clima se încălzește.
Boala cunoscută sub denumirea de "Febra Văii" este rezultatul inhalării ciupercilor Coccidioides, care se găsesc în mod natural în anumite regiuni din California și sud-vestul SUA, în sol și în pământ, conform Descoperă.ro.
Specia de ciuperci Coccidioides poate fi inhalată ușor atunci când te afli într-un mediu nepotrivit, deoarece sporii lor microscopici sunt eliberați în aer. Cu toate acestea, mulți oameni vor experimenta simptome ușoare după contractarea Febrei Văii, cunoscută și sub denumirea de coccidii.
Cu toate acestea, Febra Văii nu este întotdeauna o afecțiune ușoară, iar pentru unii indivizi infectați, boala poate evolua într-o formă severă.
Centrele pentru Controlul și Prevenirea Bolilor din SUA au declarat că aproximativ 5 până la 10% dintre persoanele infectate cu Febra Văii vor dezvolta complicații grave sau de lungă durată la nivelul plămânilor.
Într-un număr și mai mic de cazuri (aproximativ 1%), infecția se poate răspândi de la plămâni către alte părți ale corpului, precum sistemul nervos central, pielea, oasele și articulațiile.
Febra Văii poate fi fatală, în special în cazurile care implică meningită, iar chiar și în cazurile de recuperare, unii pacienți pot necesita tratament antifungic pe termen lung. Cazurile grave sunt rare în prezent, dar se poate prevedea o creștere pe măsură ce Coccidioides se răspândește în mediul înconjurător.
Cercetătorii au descoperit că speciile de Coccidioides nu se limitează doar la sud-vestul Statelor Unite, ci au fost găsite și în afara acelei zone. De asemenea, s-a constatat că există o zonă endemică în creștere, care se extinde în est până în Texas și în nord până în statul Washington. Schimbările climatice sunt considerate cauza principală a acestei extinderi, mai ales prin schimbările climatice regionale și furtunile de praf.
Această tendință necesită o mai mare atenție la nivel național în SUA decât s-a crezut anterior, deoarece diagnosticarea și tratamentul precoce sunt cruciale pentru persoanele vulnerabile la forme severe ale bolii.
Oamenii de știință susțin că previziunile actuale ale modelelor climatice indică o creștere estimată a infecțiilor cu Coccidioides în viitor.































Comentează