Cancerul de prostată poate fi vindecat complet dacă este diagnosticat și tratat în stadii incipiente. În acest context, screeningul și diagnosticul de înaltă precizie sunt esențiale.
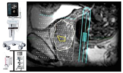
Puncția biopsie prostatică prin fuziune (fusion biopsy) este o tehnică pentru detectarea cancerului de prostată la pacienții suspecți, cu o acuratețe superioară biopsiei clasice. Tehnica presupune fuzionarea imaginilor obținute la investigația prin rezonanță magnetică multiparametrică, unde se evidențiază o zonă suspectă, cu imaginea ecografică obținută în timp real la ecograful de ultimă generație bk3000, specializat pe Urologie. Suprapunerea se face prin intermediul unui software special (bkFusion) și se efectuează așa numită „sinteză”.
Fuziunea realizată de ecograful bk3000 oferă o hartă tridimensională a prostatei și a leziunilor prostatice suspecte și ghidează acul de biopsie direct în zonele suspecte de cancer. Astfel, utilizarea biopsiei de fuziune se asociază cu o detectare crescută a cancerului de prostată semnificativ clinic, comparativ cu biopsiile sistematice. Totodată, biopsiile țintite (fusion biopsy) sunt efectuate rapid și cu riscuri mai mici decât în cazul altor proceduri similare. Chiar mai important, diagnosticul este foarte precis și sunt evitate astfel cazurile în care ar fi fost necesară o repuncționare. Procedura se realizează doar cu anestezie locală și nu necesită internare.
Spitalul Clinic SANADOR, recunoscut pentru echipamentele medicale de ultimă generație, pune la dispoziția pacienților biopsii țintite, de mare precizie, cu ajutorul ecografului Bk3000, cel mai performant ecograf pentru Urologie.
Prima biopsie prostatică de fuziune (fusion biopsy) utilizând ecograful bk3000 a fost efectuată, în premieră în România, în luna octombrie 2020, la Spitalul Clinic SANADOR.
Află mai mult despre diagnosticul de înaltă precizie al cancerului de prostată dintr-un material realizat de Dr. Bogdan Pîrlițeanu, medic specialist Urologie la Spitalul Clinic SANADOR!
































Comentează