Pe 8 noiembrie 1895, fizicianul german Wilhelm Conrad Röntgen a descoperit razele X, o descoperire pentru care avea să devină, în 1901, primul câștigător al Premiului Nobel pentru Fizică. Începând cu anul 2012, 8 noiembrie este Ziua internațională a Radiologiei. În 2020, evenimentul este dedicat specialiștilor din domeniul radiologiei care luptă împotriva virusului SARS-CoV-2 și pandemiei cu noul coronavirus.
Radiologia este o ramură a medicinei care examinează corpul uman cu ajutorul razelor X, în vederea stabilirii cu precizie a diagnosticului, dar și pentru a monitoriza evoluția pacientului. În afară de diagnosticare, pacienții pot beneficia și de radiologia intervențională. Aceasta oferă tratamente minim invazive pentru diverse patologii.
La Spitalul Clinic Sanador, punem la dispoziția pacienților un portofoliu complet de aparatură medicală imagistică de ultimă generație, pentru a diagnostica o gamă extinsă de patologii. Pe lângă echipamentele radiologice standard, portofoliul include:
• Tehnologie SPECT-CT (echipament Siemens Symbia Intevo Bold) cu ajutorul căreia se pot identifica modificări la nivel celular încă din stadiu incipient, aspect esențial în depistarea precoce a unor afecțiuni grave, precum cele din sfera oncologică și nu numai, cu secție dedicată pentru terapia izotopică;
• Tehnologie PET-CT (echipament PET-CT Siemens Biograph Horizon 3R). Scanarea PET ajută la depistarea activității metabolice intense a celulelor de tip tumoral, iar scanarea CT oferă detalii precise referitoare la localizarea, mărimea și forma tumorilor. Examinarea PET/CT combină cele două proceduri și astfel oferă informații rapide și complete referitoare la localizarea formațiunilor tumorale și la metabolismul acestora.
• Tomografia computerizată (CT) este o metodă de diagnosticare neinvazivă ce presupune combinarea razelor X cu tehnologia computerizată avansată pentru a reda imagini clare și detaliate ale structurilor interne și organelor corpului. Progresul tehnologic a dus inclusiv la specializarea anumitor echipamente CT pentru radioterapie. La Sanador, sunt disponibile 3 echipamente CT de ultimă generație.
• Mamograful Selenia Dimensions 3D Hologic – cel mai performant aparat pentru mamografie, se regăsește în portofoliul Sanador încă din 2015. Ajută la diagnosticarea precoce a cancerului de sân, crescând astfel șansele de supraviețuire ale pacientei.
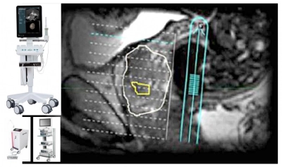
• Ecograful BK3000 – permite, pentru afecțiunile prostatei, fuziunea în timp real a imaginii ecografice cu imaginea RMN multiparametric și astfel pacienții beneficiază de biopsii rapide și țintite. Aparatul disponibil la Sanador este unic în România.
• Echipamente RMN performante: Siemens Magnetom Skyra 3 T (unic în țară), Philips Achieva dSTREAM 1,5 T și Siemens Magnetom Avanto 1,5 T. Imagistica prin rezonanță magnetică (IRM sau RMN) este una dintre cele mai avansate tehnici de imagistică medicală, care permite medicului să diagnosticheze rapid și precis o gamă extinsă de afecțiuni. IRM permite medicului vizualizarea unor detalii foarte specifice ale organelor și țesuturilor, adăugând informații care nu ar putea fi obținute prin tomografie computerizată, radiologie standard sau ecografie.
• Angiografe de ultimă generație, Philips Azurion 7 și Siemens Artis Zee, în cadrul Departamentului de Radiologie Intervențională Sanador. Angiograful Philips Azurion 7, unic în România, este o platformă terapeutică ghidată imagistic care asigură reducerea dozei de iradiere pentru pacient și pentru medic, față de aparatele standard, cu o înaltă calitate a imaginii.
Descoperă întreaga gamă de servicii de radiologie și imagistică medicală disponibilă la Sanador!
































Comentează