SARS-CoV2 este un virus respirator despre care specialiştii ştiu prea puţine, momentan. Deşi, în general, tinerii par a fi mai rezistenţi la infecţie, un medic din Spania trage un semnal de alarmă şi le cere acestora să stea în casă. Plămânii lor se degradează în doar trei zile.
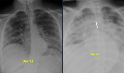
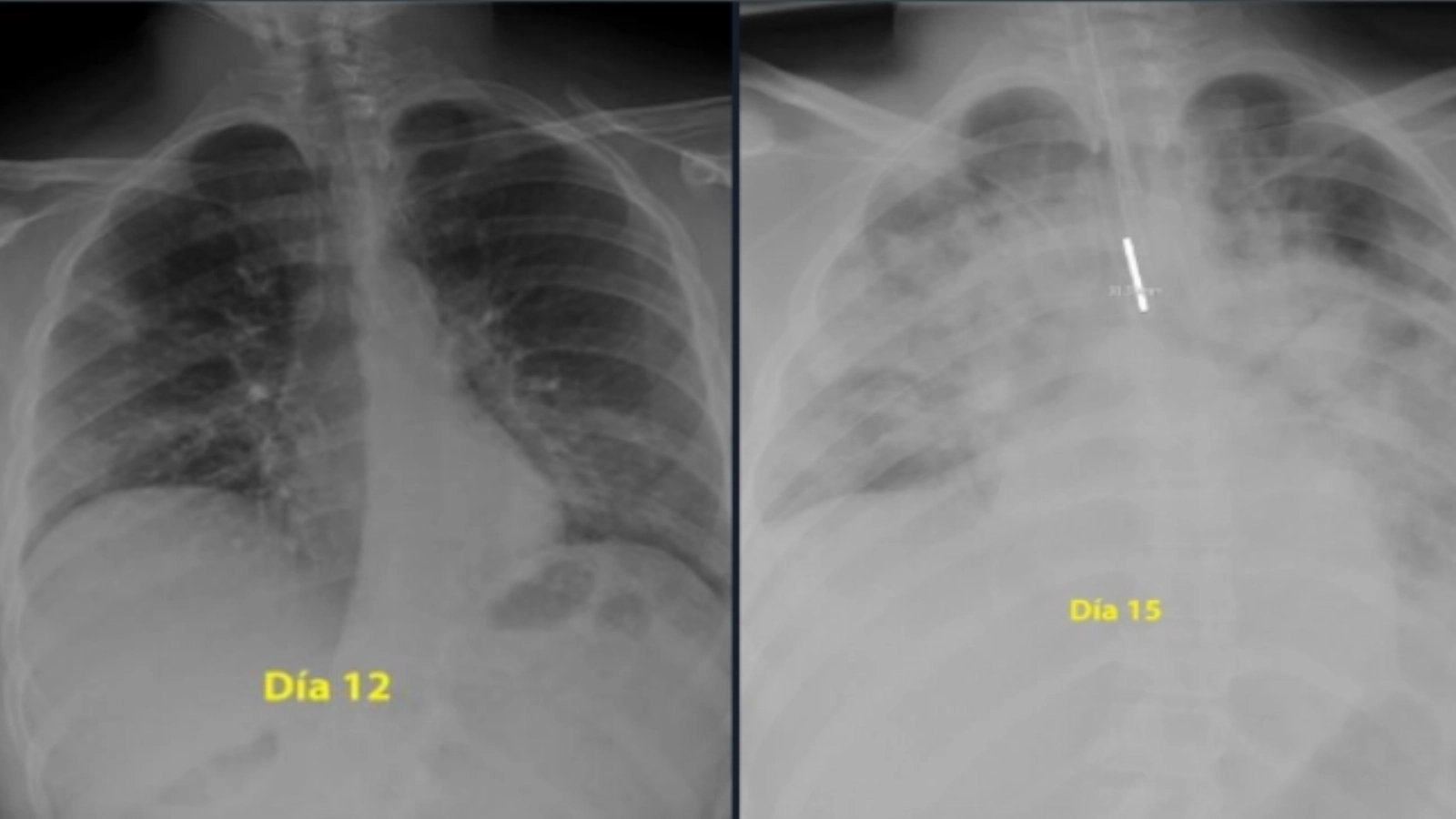
Potrivit adevarul.ro, un medic pneumolog din Spania a postat pe Twitter două radiografii care arată cum s-au degradat, în doar trei zile, plămânii unui tânăr de 28 de ani care a făcut o formă gravă de COVID-19. Momentan, noul coronavirus îi afectează, în general, mai puţin pe tineri, dar aceştia nu sunt totuşi, invincibili. Cercetătorii avertizeză că virusul suferă încă mutaţii.
„Pentru cei care cred că sunt nemuritori şi continuă să iasă în parc fără să acorde atenţie ordinului de a rămâne acasă, radiografiile unui băiat de 28 de ani intubat la Terapie Intensivă în spitalul meu, pentru coronavirus, arată gravitatea bolii”, a spus medicul, postând şi două fotografii cu plămânii tânărului, care, în doar trei zile de boală, au fost „măcinaţi” de pneumonie. „Plămânii sunt negri, albul este pneumonie”, a scris medicul pe Twitter.

Momentan, medicii turează la maximum pentru salvarea pacienţilor infectaţi, în timp ce specialiştii mai au încă de descurcat „iţele” noului coronavirus. Un nou studiu ce urmează a fi validat arată că acesta a suferit până acum zece mutaţii. O echipă de cercetători şi medici din China, Suedia şi Franţa a studiat mutaţiile suferite de virusul SARS-CoV-2 şi susţine că unele ţări sunt infectate cu o nouă tulpină. Aceste mutaţii sunt strâns legate de viteza de contaminare şi gradul de severitate al bolii, spun oamenii de ştiinţă, situaţie care îngreunează procesul de depistare a unui tratament cu aplicabilitate generală, cât şi realizarea unui vaccin.
Pe scurt, noul coronavirus suferă circa două mutaţii lunar - un ritm mult mai încet decât virusul gripal, care suferă între opt şi zece mutaţii pe lună. Astfel, cele 10 mutaţii au clasificat genomurile virusului în 5 grupe, în funcţie de tulpinile analizate. Aşadar, primele 3 grupuri au proprietăţi comune cu varianta originală, din China, unde, pe 3 martie 2020 au apărut primele două tulpini separate. Totuşi, acestea sunt aproape identice, deci pot fi anihilate prin vaccin. Apoi, în Brazilia şi în Suedia au predominant contaminări cu mutaţii din grupul 4, în Italia şi în Franţa sunt atât virusul original, cât şi mutaţia, în Elveţia predomină infecţii cu noul coronavirus nemodificat, la fel în Australia şi în Statele Unite.































Comentează