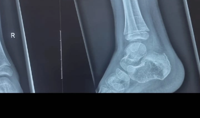
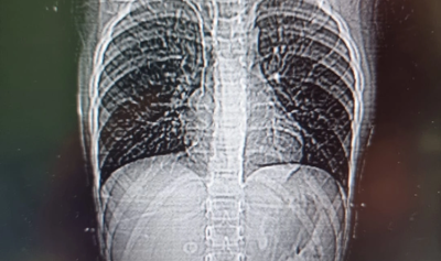
David, un copil plin de viață și mereu zâmbitor, se confruntă cu o provocare imensă în viața sa fragedă. Recent diagnosticat cu Sarcom Ewing, o formă rară de cancer osos, David luptă acum nu doar pentru zâmbetul său, dar și pentru viața însăși.
La doar câțiva ani, David a suferit deja intervenții majore, inclusiv o operație pentru extragerea unui os afectat de boală. Până în prezent, el a primit 14 doze de citostatic, dar lupta sa este departe de a se încheia. Pentru a continua tratamentul vital în Turcia, familia lui David are nevoie urgentă de sprijin financiar. Suma necesară se ridică la 15.230 de euro, o cifră enormă pentru o singură familie.
Florentina Zimbru, mama lui David, este profund recunoscătoare pentru orice ajutor și sprijin: "Nu lăsați puiul să lupte singur," a îndemnat ea. Donațiile pot fi făcute prin mai multe modalități:
Revolut: @revolut.me/ajutordavid6 sau nr. 00447879915109 (cont în lire)
zimbru florentina
Lloyds Bank: Sort code 30-94-87, account number 49690760
PayPal: https://www.paypal.me/FZimbru
Cont în RON: Florentina Zimbru, Bank code: BRELROBUXXX, IBAN: RO05 BREL 0005 6011 9703 0100
Cont în Euro: BIC: TRWIBEB1XXX, IBAN: BE29 9674 1296 7964
Pentru mai multe detalii sau pentru a contribui în alt mod, contactați direct familia sau lăsați un mesaj privat.
”Sunt o mamă care dorește să-și salveze copilul. Dumnezeu lucrează prin oameni cu suflet mare și noi ne vom ruga pentru dumneavoastră și pentru ajutorul pe care ni-l acordați. Dumnezeu vă va răsplăti fapta bună făcută pentru băiețelul meu.”, spune mama lui David pentru cei care vor dona pentru ca fiul ei să se facă bine.







































Comentează