Într-un spital de clasă mondială nicio provocare nu este de neacceptat. Iar între cele mai spectaculoase sunt mizele neurochirurgiei, care la Sanador urmează un grafic constant și precis precum linia vieții trasată în palmă. O secție formată din doctori redutabili și dotată cu aparatură ultramodernă poate aduce normalul în multe vieți mutilate de afecțiuni grave.
"Dintr-o dată am simțit cum ochii s-au dus în stânga; nu-i puteam controla, parcă erau niște bile animate de o forță centrifugă. A fost nevoie să-i pun cu mâna la loc", ne descrie dna E.S. debutul simptomelor cazului său incredibil, rezolvat fără urmări la Sanador. Era o dimineață de aprilie, în plină pandemie, iar primul gând a dus-o la apariția unei metastaze de la un cancer endometrial extirpat în fază precoce în urmă cu cinci ani. Sau poate un semn al unei epilepsii, pentru că a recunoscut o "paralizie conștientă", cu atacuri de panică, deconcentrare la fiecare jumătate de oră, modificarea timbrului vocal, mirosuri percepute foarte puternic. Peste toate, nu-și putea coordona picioarele, iar când era stăpână pe ele adormea în poziție ortostatică; nu înțelegea ce i se spune, uneori se cufunda zeci de secunde într-un somn profund!
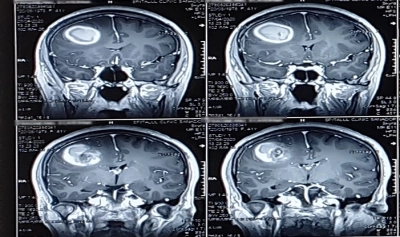
Consultațiile și investigațiile au mers ritmic. La Sanador se face medicină în echipă, în amănunt, eliminând orice intruziune. Tomografia a arătat o formațiune frontală dreapta, un cavernom format de un ghem vascular apărut insidios, devenit hemoragic. Nu trebuie să fii specialist pentru a realiza gravitatea situației. Dar trebuie să fii un profesionist redutabil pentru a rezolva calm și sigur un asemenea caz.

Așa a ajuns dna E.S. la Neurochirurgie. A cerut expres să fie pacienta prof. univ. dr Vladimir Alexandru Ciurea, motivația fiind simplă și sublimă în același timp: încrederea în dânsul. Și magistrul s-a apucat de treabă, ajutat de dr. Dan Benția, medic primar cu experiență de top în Vest, și de dr. Adrian Enache, medic specialist destoinic.
Mai întâi, cu ajutorul aparatului de neuronavigație Medtronic, s-a produs delimitarea topografică a zonei afectate. Device-ul e o minune tehnologică: un computer în care se încarcă toate investigațiile pentru o localizare fidelă este "legat" prin bluetooth de un terminal care are forma unui stilet. "Stiletul" este plimbat, precum un detector de metale peste o zonă cu comori, deasupra capului pentru o localizare foarte diferențiată a problemei. Din momentul în care topografic totul e ok se trece la intervenția propriu zisă. S-a efectuat un volet frontal dreapta, centrat pe sutura coronară. Cu un fel de polizor mobil se decupează craniul. O suprafață osoasă convexă de formă paralelipipedică este scoasă după contururi realizate migălos, ușurate în manevrabilitate de niște orificii "săpate" cu un burghiu special. Ce se vede este un pătrat ale cărui segmente unesc niște cercuri. Da, neurochirurgul trebuie să fie și un fel de inginer de structuri naturale dure: scoate placa, păstrează "rumegușul" și în față îi apare meningele, membrana care acoperă creierul. Îl decupează cu migală, e precum un croitor desăvârșit în fața celei mai prețioase țesături din lume. Apoi i se află sub priviri cea mai complexă creație a existenței: substanța cerebrală. De aici, microscopul Zeiss Kinevo 900 e vital în operație. Tot felul de instrumente fine, de la ace până la pense și aspiratoare delicate, pătrund printre circumvoluțiuni în Țara Minunilor, insinuîndu-se câțiva centimetri în galaxia sinapselor. Așa de simplu pare să umbli prin căile creierului când știința de carte, experiența și tehnologia sunt congruente și când ai mâini acordate fin, de nivelul unui trăgător de elită. Micron cu micron, fir cu fir, secundă cu secundă, ghemul vascular malformativ se excizează ca și cum n-ar fi existat. Migala înseamnă timp și rezistență. Calea-ntoarsă trebuie parcursă la fel de precis, precum coborârea unui alpinist după ascensiunea unui versant. Dura mater, pia mater și arahnoida, foițele care compun meningele, se închid cu plastie fără cusur. Urmează încastrarea perfectă a voletului osos, "plăcuța" lipsă din puzzle-ul cranian, "chituită" cu rumegușul din țesut natural. Straturile anatomice sunt apoi protejate cu substanțe și structuri compozite speciale.
E imposibil de reprodus senzația de împlinire după un asemnea maraton. E chiot și rugăciune, exaltare și ușurare, fior și lacrimă. Iar pacienta, fără sechele după o asemenea experiență, concluzionează: "Am adormit și m-am trezit ca nouă". Minunat!

































Comentează